Mindray Animal Medical ultrazvok VETUS 50 je opremljen z ultrazvočno platformo naslednje generacije ZST+ ter tehnologijo pretvornikov 3T s ComboWave, zagotavlja natančno delovanje pri preiskavah različnih živali, vključno z malimi živalmi in konji. Hkrati celovita vgrajena učna orodja omogočajo veterinarjem bolj priročno in učinkovito učenje.
Celovita učna orodja
iScanHelper: uporabno vgrajeno vodilo za začetnike in izkušene veterinarske strokovnjake.
iWorks: veterinarjem omogoča učinkovitejše skeniranje, brez izpuščanja posameznih delov.
iMeasure: takoj predlaga možna ali sumljiva klinična stanja.
Profesionalne klinične funkcije
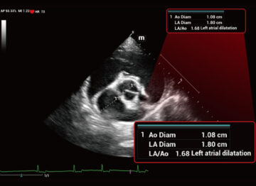
Natural Touch Elastography: večja občutljivost na togost, dobra stabilnost in ponovljivost
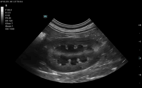
HD Scope: izboljšuje podrobnosti na določenem območju
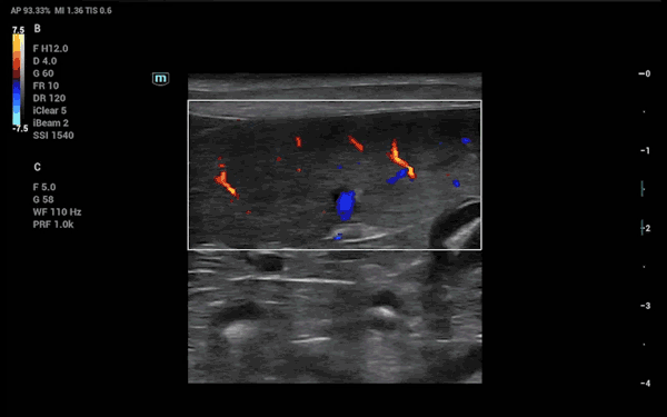
HR Flow: prikazuje profile žil in kompleksne vzorce pretoka
iNeedle: samodejno zazna kot igle in izboljša vidnost
iScape: prikazuje celotne anatomske strukture
TDI: za oceno gibanja miokarda in sinhronizacije
Možnost nakupa licence za 3D in 4D slike.
Inovativna zasnova
21,5-palčni LED monitor z ločljivostjo Full HD
13,3-palčni lebdeči zaslon na dotik z večkretnimi gestami
Nadzorna plošča, odporna proti škropljenju
Velika kapaciteta shranjevanja
Nizka raven hrupa (26 dB)
Napreden pretvornik
C11-3 mikro konveksna sonda
L13-3 linearna sonda (tehnologija ComboWave)
Mindray Animal Medical ultrazvok VETUS 50 je v zelo dobrem stanju, uporabljen le za demo predstavitve.
Leto proizvodnje: 2023
Več podrobnosti si lahko ogledate na spletni strani proizvajalca MINDRAY ANIMAL MEDIAL.
















